Notícias

Novo Endereço!

A partir do dia 26/09/22 estaremos em um novo endereço:
Rua Sete de Setembro, 718, sobreloj... leia mais

Alinhadores Transparentes

Os alinhadores invisíveis são a opção mais moderna e confortável para a realização do tratame... leia mais

Casos clínicos no Instagram!

Confiram o Instagram @fredlessa83 com casos reabilitados pelo dr. Frederico Lessa.... leia mais

Conclusão do curso de Cirurgia Plástica Periodontal

No primeiro semestre de 2019 o Dr. Frederico Lessa concluiu o curso de aperfeiçoamento em Cirurgias... leia mais

Guided Surgery

O trauma das cirurgias convencionais de implantes pode ser evitado. Com a Cirurgia Guiada não há c... leia mais

Implante dentário é caro?

Muitos pacientes pensam que fazer implantes é algo inacessível. Não é!
O tratamento com i... leia mais

Reabilitação com coroas em porcelana

Caso realizado pelo Dr. Frederico Lessa com coroas metal free sobre dentes e implantes.... leia mais

Manutenção de implantes dentários

A manutenção e controle de tratamentos com implantes dentários deve ser feita com regularidade. R... leia mais

Sinusite pode ser confundida com dor nos dentes?

Sim! Devido à proximidade da região afetada na sinusite com as raízes dos dentes superiores. Se u... leia mais

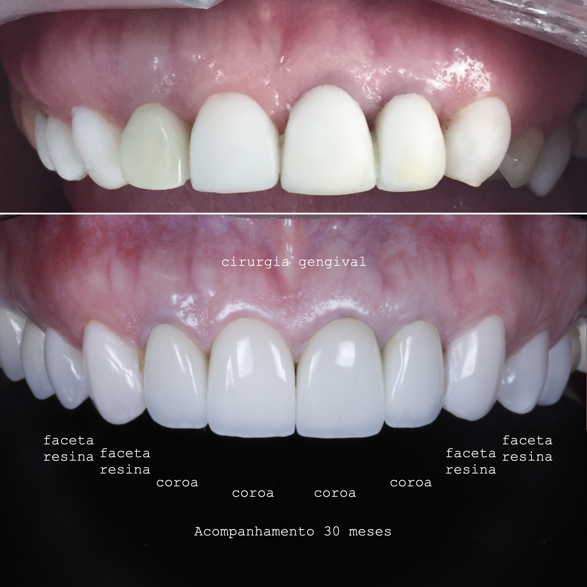
Estética Dental

Confiram esse caso onde foi realizado cirurgia gengival, coroas em porcelana e facetas em resina. Co... leia mais

ACESSIBILIDADE

A Ortoclinic está preparada para receber pessoas com deficiências e cadeirantes. Contamos com um s... leia mais

Certificado Dentista Premium

Recebemos mais uma vez da Dental Cremer o certificado Dentista Premium, pela compra constante de mat... leia mais

Curso Cirurgias Estéticas

A Ortoclinic está promovendo um curso para dentistas com o professor Heitor Cosenza. O curso será ... leia mais

Curso Estética Rosa em Reabilitações com Implantes

No dia 16 de Março o dr. Frederico Lessa e a clínica Ortoclinic organizaram um curso com a presen... leia mais

ARTIGO CIENTÍFICO

Dra. Tatiana Lessa, ortodontista da Ortoclinic publicou recentemente um artigo científico na revist... leia mais

CASO CLÍNICO

Caso clínico realizado pelo Dr. Frederico Lessa: foram realizados 2 enxertos, 14 implantes e próte... leia mais

CIOSP 2015

Inicia hoje o Congresso Internacional de Odontologia de São Paulo, com presença confirmada do Dr. ... leia mais

CIOSP 2016

Inicia dia 27 o Congresso Internacional de Odontologia de São Paulo, o maior congresso de Odontolog... leia mais

CIRURGIA GUIADA

No final do mês de Abril, o Dr. Frederico Lessa visitará a fábrica de implantes Neodent para real... leia mais

CURSO DE LASERTERAPIA

No dia 19 de Novembro o Dr. Frederico Lessa participou em Curitiba de um curso de laserterapia na Od... leia mais

ESTACIONAMENTO GRATUITO

Possuímos convênio com o estacionamento HS Park, localizado ao lado da clínica, na rua General Ca... leia mais

HOME CARE ODONTOLÓGICO

O atendimento odontológico domiciliar e hospitalar é uma nova forma de prestação de serviço ofe... leia mais

MEDO DE FAZER IMPLANTES DENTÁRIOS?

A cirurgia guiada pode ser a solução para casos simples e complexos com rapidez e mínimo desconfo... leia mais

NOVO CONVÊNIO

Estamos atendendo um novo convênio: Saude Caixa. Todos os beneficiários são bem vindos.... leia mais

NOVOS EQUIPAMENTOS

Uma das salas de atendimento da Ortoclinic recebeu hoje uma nova cadeira odontológica. Mais moderna... leia mais

PALESTRA SOBRE CÂNCER BUCAL

No dia 20 de Outubro o Dr. Frederico participou da SIPAT na empresa Racional Estruturas, ministrando... leia mais

PORQUE FAZER IMPLANTES NA ORTOCLINIC

Porque fazer implantes com o Dr. Frederico Lessa na Ortoclinic:

Confiança:
leia mais

PROGRAMA SEBRAE DE GESTÃO DA QUALIDADE

Diretores e colaboradores da Ortoclinic estão participando do programa de gestão da qualidade dese... leia mais

RESPONSABILIDADE AMBIENTAL

Na Ortoclinic realizamos a coleta seletiva do lixo não contaminado e encaminhamos o material para p... leia mais

VIDEO DIAGNÓSTICO

Na Ortoclinic utilizamos uma câmera intra-oral que permite a visualização de imagens ampliadas pa... leia mais

Ortoclinic
Rua Sete de Setembro, 718. Sobreloja. Centro
Ponta Grossa | Paraná
(42) 3028-9394 | (42) 99949-0968